БРЮССЕЛЬ. /TASS/. Белгийн эрх баригчид сармагчны цэцэг өвчний вирусээр халдварласан хүмүүсийг 21 хоног тусгаарлах шийдвэр гаргасан тухай “La Libre Belgique” сонин мэдээлжээ.
Тус сонинд мэдээлснээр, дээрх шийдвэрийг Бельгид уг өвчний гурван тохиолдол илэрсний дараа байгуулсан эрсдэлийн үнэлгээний бүлгийн хуралдааны дараа гаргасан байна.
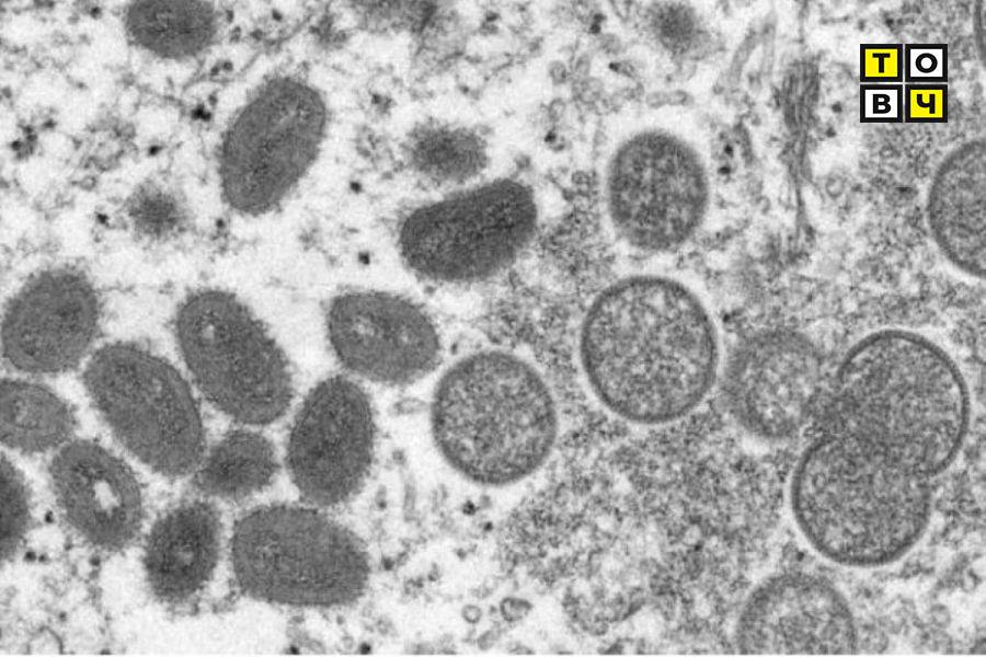
Сармагчны цэцэг өвчний вирус дөрөв, тавдугаар сард Баруун Европын хэд хэдэн улс, түүнчлэн бусад тивийн орнуудад ч тархсан. Сүүлийн үед Австрали, Бельги, Их Британи, Герман, Испани, Итали, Канад, Португал, АНУ, Франц, Швейцар, Швед зэрэг оронд бүртгэгджээ.
ДЭМБ-аас мэдээлснээр, энэ сарын 13-наас 21-ний хооронд дэлхийн 12 улсад халдварын 92 тохиолдол илэрсэн байна.
Эх сурвалж: https://montsame.mn/mn/read/29...
Сэтгэгдэл хараахан байхгүй байна. Та эхлээрэй!